V6 Samsung

Ultrassom Samsung – Versatilidade

ULTRASSOM COMPACTO E VERSÁTIL PARA UMA ROTINA MAIS EFICIENTE

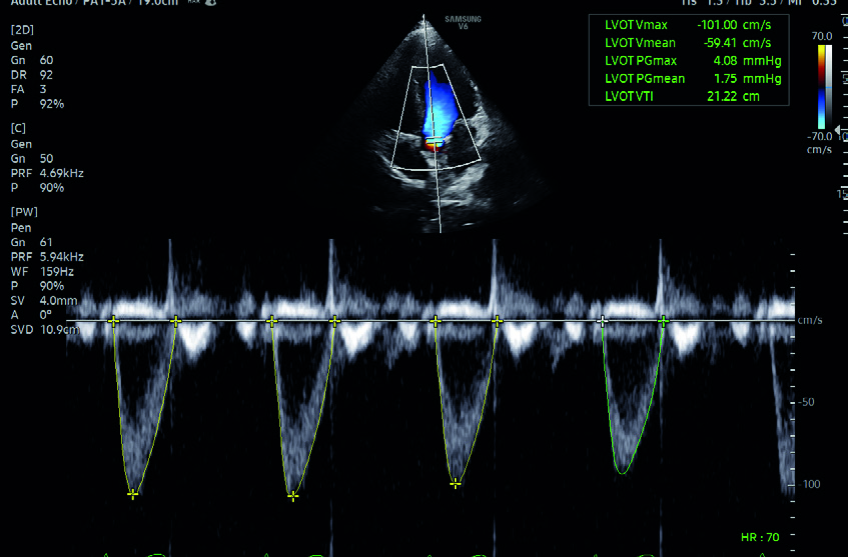
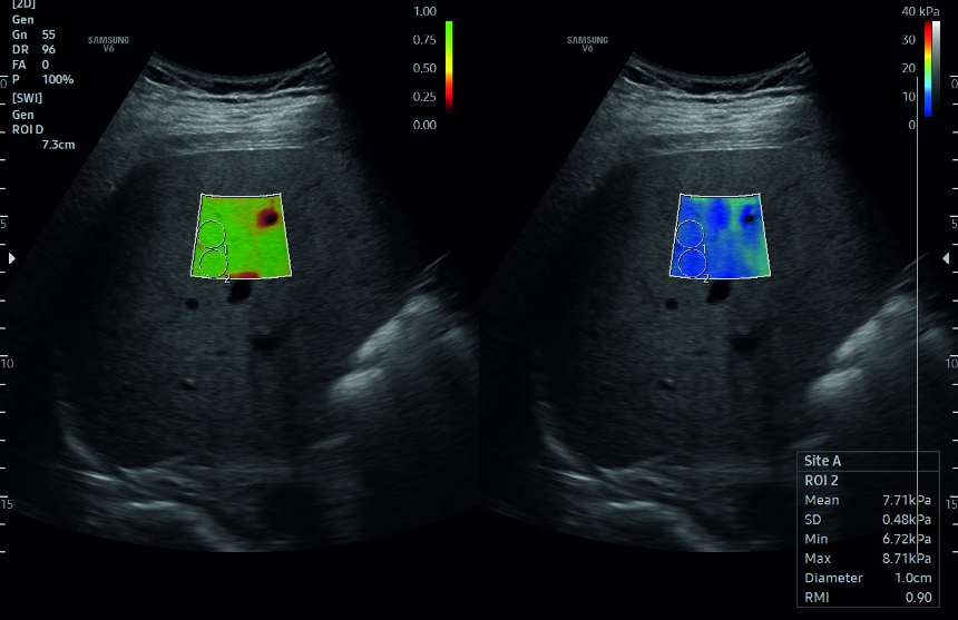
O Samsung V6 foi projetado para trazer eficiência e precisão ao dia a dia clínico. Compacto, com bateria integrada e recursos de automação inteligentes, o V6 combina desempenho de imagem com facilidade de uso. Equipado com a tecnologia Crystal Architecture™, proporciona imagens nítidas em 2D e Doppler, além de ferramentas avançadas para quantificação hepática, avaliação cardíaca, tireoide e mama.

Com interface intuitiva e recursos como QuickPreset, EzCompare™ e SonoSync™, o V6 facilita diagnósticos ágeis e confiáveis, otimizando o fluxo de trabalho e garantindo maior conforto ao usuário. Ideal para quem busca alto desempenho com praticidade e design funcional.

- Destaques

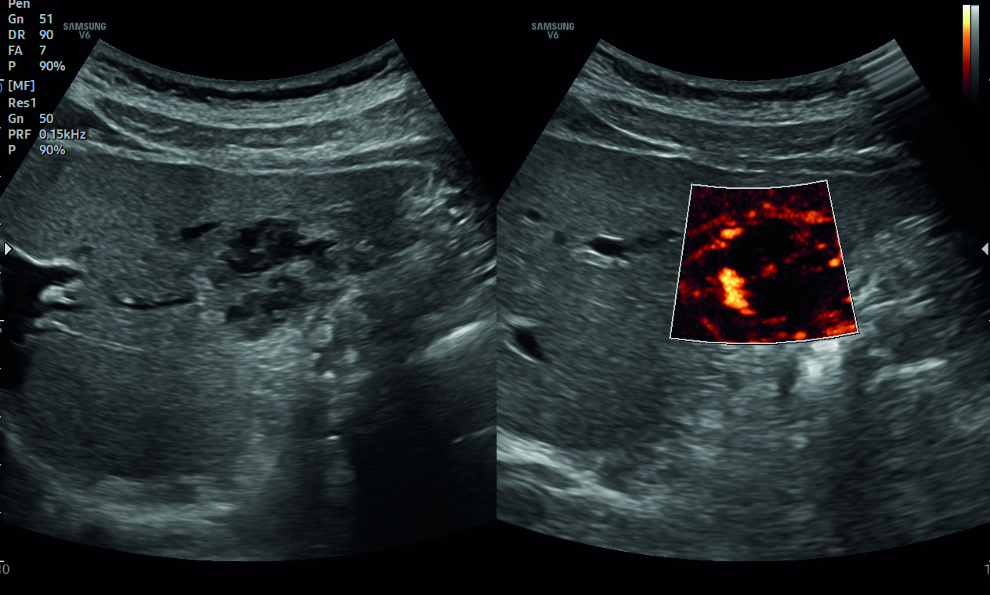
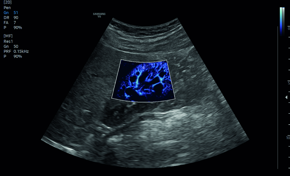
  • Crystal Architecture™: imagens de alta definição com redução de ruídos e HDR

  • Ferramentas inteligentes: S-Shearwave™, TAI™, TSI™, S-Detect™, Strain+, NerveTrack™.
  • Recursos de workflow otimizados: QuickPreset, TouchEdit, EzExam+, BatteryAssist™.
  • Transdutores S-Vue™: ampla gama para imagem geral, musculoesquelético, cardiovascular e saúde da mulher.

Imagens Clínicas

INFORMAÇÕES DO PRODUTO

21.5 Monitor
3 ou 4 portas de transdutores
Teclado ergonômico iluminado
ShadowHDR™ HQ-Vision™
ClearVision (redução de ruído)
S-Shearwave™ 2D Imaging
TouchEdit™ (interface personalizável)
QuickPreset (seleção de transdutor e preset)
EzCompare™, EzExam+, BatteryAssist™

Confira nossa área de atuação ⟶