V5 Samsung
Ultrassom Samsung – Versatilidade
ULTRASSOM COMPACTO, POTENTE, VERSÁTIL E INTELIGENTE PARA RESULTADOS PRECISOS EM DIVERSAS ESPECIALIDADES
O Samsung V5 é um sistema de ultrassom que une desempenho de imagem excepcional a recursos avançados de inteligência artificial, proporcionando diagnósticos rápidos e precisos em diversas especialidades — incluindo imagem geral, saúde da mulher, cardiovascular e musculoesquelético.
O design compacto e leve do ultrassom V5 garante mobilidade e praticidade no uso diário, enquanto sua interface intuitiva com tela sensível ao toque simplifica os fluxos de trabalho. Com recursos como avaliação automatizada do fígado (S-Shearwave™, TAI™, HRI), análise de lesões mamárias com S-Detect™, e ferramentas baseadas em IA como NerveTrack™, BiometryAssist™ e UterineAssist™, o V5 oferece suporte completo à decisão clínica.
O ultrassom V5 também conta com tecnologias como NeedleMate+™ para procedimentos guiados por agulha, 5D Follicle™ para avaliação ovariana e SonoSync™ para compartilhamento remoto em tempo real de imagens e marcações, ideal para treinamentos e segunda opinião médica.
Projetado para atender às exigências da medicina moderna, o Samsung V5 eleva o padrão dos exames por imagem com precisão, agilidade e confiabilidade.
O design compacto e leve do ultrassom V5 garante mobilidade e praticidade no uso diário, enquanto sua interface intuitiva com tela sensível ao toque simplifica os fluxos de trabalho. Com recursos como avaliação automatizada do fígado (S-Shearwave™, TAI™, HRI), análise de lesões mamárias com S-Detect™, e ferramentas baseadas em IA como NerveTrack™, BiometryAssist™ e UterineAssist™, o V5 oferece suporte completo à decisão clínica.
O ultrassom V5 também conta com tecnologias como NeedleMate+™ para procedimentos guiados por agulha, 5D Follicle™ para avaliação ovariana e SonoSync™ para compartilhamento remoto em tempo real de imagens e marcações, ideal para treinamentos e segunda opinião médica.
Projetado para atender às exigências da medicina moderna, o Samsung V5 eleva o padrão dos exames por imagem com precisão, agilidade e confiabilidade.
- Destaques



-
Imagens de alta definição com recursos avançados de IA para diagnósticos mais rápidos e precisos.
- Design compacto e leve, ideal para mobilidade e espaços reduzidos.
- Ferramentas automatizadas para saúde da mulher, fígado, coração e musculoesquelético.
- Índice hepatorrenal com recomendação automatizada de ROI.
-
Agilidade no cálculo da taxa de deformação entre duas ROIs.
- Detecta e rastreia nervos automaticamente com tecnologia de IA.
- Ampla variedade de transdutores.
- Conectividade remota em tempo real com a função SonoSync™
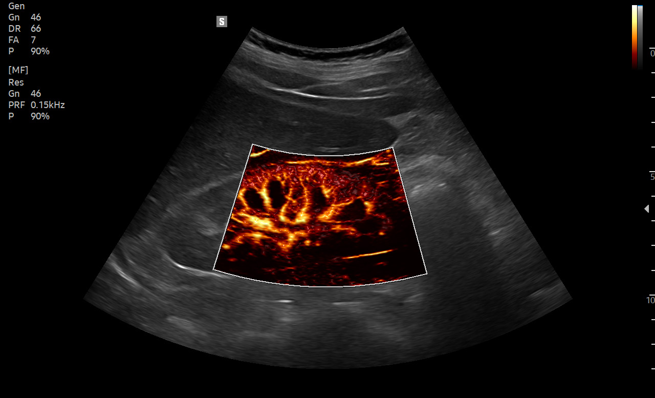
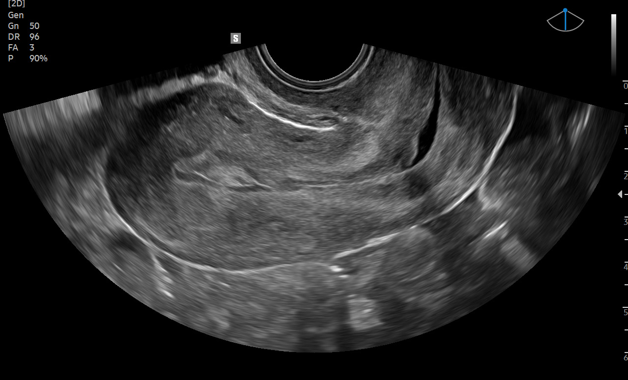
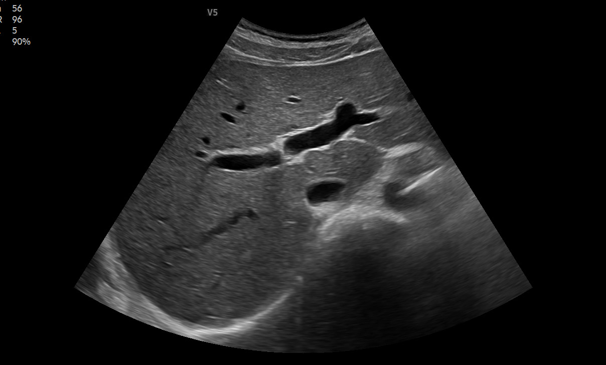
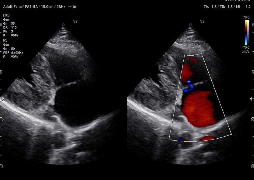
Imagens Clínicas
INFORMAÇÕES DO PRODUTO
21.5 Monitor
3 ou 4 portas de transdutores
Teclado ergonômico iluminado
ShadowHDR™ HQ-Vision™
HQ-Vision™ para maior nitidez
ClearVision (redução de ruído)
Elastografia S-Shearwave™ 2D
Assistente por IA: NerveTrack™
Ferramentas opcionais: CEUS+, S-Detect™, Strain+, MV-Flow™, Lumi-Flow™